게실염 증상 정보가 궁금하시죠?
아래 정리한 정보를 확인해보세요!



✅게실염 증상 맹장염이랑 헷갈립니다
게실염은 복부에 발생하는 질환 중 하나로, 맹장염과 비슷한 증상을 보일 수 있습니다.
그러나 이 두 질환은 다른 부위에서 발생하며, 각각의 특징과 치료 방법이 다릅니다.
아래 영상을 통해서 게실염 증상 정보를 올바르게 확인해보시기 바랍니다.
전문의사가 설명을 하기 때문에 게실염 증상 관련 올바른 정보를 확인하실 수 있습니다.
아래 영상을 클릭하면 재생 됩니다.



게실염 증상 무엇인가?
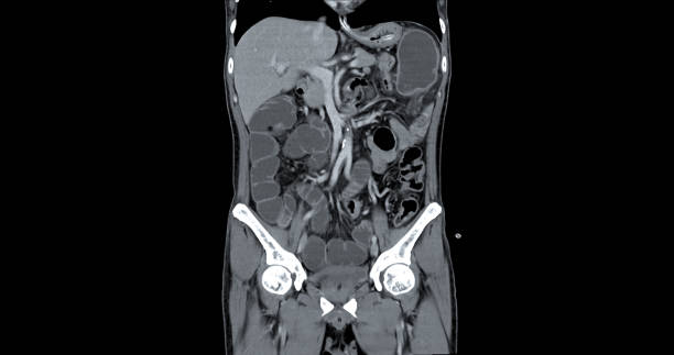
게실염은 대장의 벽에서 바깥쪽으로 튀어나온 주머니 형태의 작은 부어오르는 현상을 말합니다.
이 주머니 형태는 대장 벽의 약한 부위에서 발생할 수 있으며, 오른쪽 대장이나 왼쪽 대장에서 발생할 수 있습니다.
게실은 다양한 형태로 나타날 수 있으며, 주로 세균 증식과 염증으로 인해 발생합니다. 게실 자체는 어개실증이라고 부릅니다.
게실염은 주로 복통을 유발하며, 위치에 따라 우측 대장 게실염과 좌측 대장 게실염으로 나눌 수 있습니다.
복통 외에도 통증 부위를 눌렀을 때 더 심해지는 악통, 발열, 설사, 변비, 혈변 등의 증상이 나타날 수 있습니다.
게실염은 서양에서는 좌측 대장 게실염이 흔하게 발병하지만, 한국에서는 우측 대장 게실염이 더 흔하게 나타나는 편입니다.



게실염 증상 치료
게실염의 치료에는 크게 세 가지 카테고리가 있습니다.
- 금식 및 휴식: 복통을 완화하기 위해 금식을 통해 장을 휴식시키는 것이 중요합니다.
- 수액 공급: 수분 섭취를 유지하고 탈수를 예방하기 위해 충분한 수액을 섭취해야 합니다.
- 항생제 및 진통제: 경미한 게실염의 경우 항생제와 진통제를 복용하며 증상의 경과를 관찰할 수 있습니다.
하지만 게실염이 심한 복통, 고열, 농양 등을 동반할 경우, 입원이 필요할 수 있습니다. 이때는 금식과 수액 공급뿐만 아니라 정맥 항생제와 정맥 진통제 치료가 필요할 수 있습니다. 게실염이 합병증을 동반할 경우 대장 일부 절제 수술이 필요할 수도 있습니다.



게실염 증상 예방
게실염은 몇 가지 생활 습관과 관련이 있습니다. 개실 염증 발병 위험을 줄이기 위해서는 다음과 같은 사항을 유의해야 합니다.
- 체중 조절과 꾸준한 운동: 비만이나 운동 부조에 의한 개실염 발병 위험을 줄이기 위해 체중 조절과 꾸준한 운동이 중요합니다.
- 건강한 식습관: 동물성 지방을 과다하게 섭취하지 않고, 섬유질을 충분히 섭취하는 식습관을 가질 필요가 있습니다.
- 수분 섭취: 수분을 충분히 섭취하여 변비를 예방하고 장 건강을 유지하세요.
- 약물 사용 주의: 비스테로이드성 항염증제나 마약성 진통제 등은 게실염 발병 위험을 높일 수 있으므로 의사와 상담하여 약물 사용에 주의해야 합니다.



게실염 증상 마무리
게실염은 대장 내부에 상황을 정확하게 파악하기 위해 대장내시경 검사가 필요할 수 있습니다.
따라서 게실염의 증상이 나타날 경우, 적절한 시기에 병원을 방문하여 의사의 진료와 검사를 받는 것이 중요합니다.
게실 염증을 방치할 경우 합병증으로 이어질 수 있으므로 조기 진단과 치료가 필요합니다.
