뇌출혈 전조증상 정보를 알아보기 위해서 오셨다면 잘 오셨습니다.
제 블로그에서 관련 내용을 잘 정리했구요.
아래 내용들 살펴보시면 도움이 되실 겁니다.



✅뇌출혈 전조증상
뇌 관련된건 정말 위험합니다. 그래서 빠르게 대처하거나 빠르게 치료를 하는게 중요합니다.
그러려면 일단 뇌출혈 전조증상 정보를 자세히 알아야 겠죠? 알아야 빨리 대처 합니다.
이와 관련해서 전문가가 뇌출혈 전조증상 관련 정보를 제공하는 영상이 있습니다.
시간내서 영상을 꼭 시청 하시구요. 뇌출혈 전조증상 정보를 제대로 파악하시는게 좋습니다.
그래야 돌발상황에 있어서 구급차를 불러서 재빨리 대응합니다.
조금만 늦으면 평생 장애를 가지고 살게 되거나 생명을 뺏길 수 있습니다.
꼭 시청하시기 바랍니다. 아래 영상은 클릭하면 재생 됩니다.



혈압 조절의 중요성
뇌출혈의 가장 흔한 원인 중 하나는 고혈압입니다. 고혈압은 혈압이 지속적으로 높게 유지될 때 발생할 수 있습니다. 따라서 혈압을 적절히 조절하는 것이 중요합니다. 고혈압은 가족성 혈압 문제와 연관될 수도 있으므로 가족력을 고려하는 것도 중요합니다.



뇌출혈 전조증상 발생 원리
뇌출혈은 혈압이 급격하게 상승할 때 발생할 수 있습니다. 인간은 직립보행을 하기 때문에 혈압을 뇌로 향하게 유지하기 위해 특별한 혈관 구조를 가지고 있습니다. 그러나 혈압이 지나치게 높아지면 혈관에 부담이 가게 되고, 이로 인해 뇌출혈의 위험이 증가합니다.



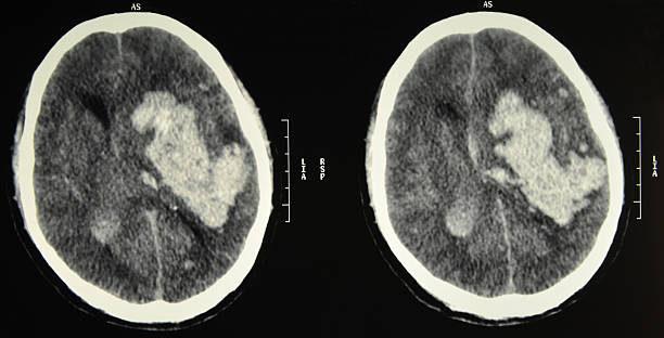
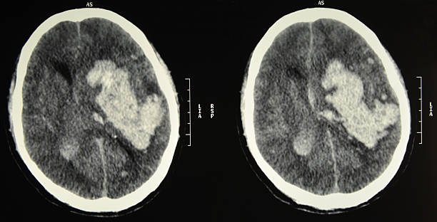
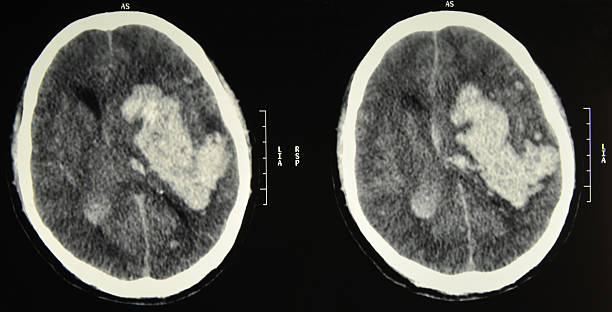
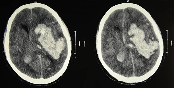
뇌출혈 전조증상 및 진단
뇌출혈이 발생하면 다양한 증상이 나타날 수 있습니다. 이러한 증상 중에서도 특히 편측 마비, 말 능력의 손실, 의식 변화 등이 나타날 경우 뇌출혈의 가능성을 고려해야 합니다. 이런 경우 즉시 의료기관을 찾아 진단 받아야 합니다.



뇌출혈 전조증상 현대적인 치료 방법
과거에는 뇌출혈 환자가 수술을 받으면 뇌 영역에 불구가 생길 것으로 여겨져 수술을 꺼렸던 경우가 많았습니다. 그러나 현대의 의학과 기술 발전으로 뇌출혈 환자의 치료 방법도 크게 발전했습니다. 내비게이션 시스템을 활용한 수술은 정확한 위치를 파악하여 뇌 영역을 보존하는 데 도움을 줍니다. 따라서 완전한 마비 없이도 수술 후 회복이 가능한 경우가 많아졌습니다.



뇌출혈 전조증상 예방과 생활 습관 개선
뇌출혈을 예방하기 위해서는 혈압을 철저히 관리해야 합니다. 혈압을 안정적으로 유지하기 위해 건강한 식습관과 적절한 유산소 운동이 필요합니다. 또한 건강보조식품보다는 물을 충분히 마시고 노폐물을 체내에서 제거하는 것이 뇌출혈 예방에 더 중요합니다.



뇌출혈은 심각한 상황일 수 있으므로, 뇌출혈의 초기 증상이 나타나면 즉시 의료진의 도움을 받아야 합니다. 뇌출혈에 대한 빠른 대응과 예방을 통해 건강한 뇌와 혈관을 지킬 수 있습니다.
